Zahne Abschleifen Fur Brucke
Wie entsteht eine Zahnlücke Zahnverlust ist eine bittere Erfahrung Ursachen können sein z B Unfall (z B Sportverletzung, Sturz) Sie sehen Für Ihre Gesundheit ist es wichtig, Zahnlücken zu versorgen!.
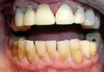
Zahne abschleifen fur brucke. Da die umgebenden Zähne für eine Adhäsivbrücke nicht so stark bearbeitet werden müssen wie bei den konventionellen Brücken (nur der Zahnschmelz wird beschliffen), nutzt man sie bevorzugt bei jungen Patienten. Hallo, ich hoffe, dass mir vielleicht hier jemand helfen kann Ich habe vor vier Wochen eine neue Keramikkrone im UK bekommen Der Zahn war nach dem Abschleifen ganz schön empfindlich Der ZA hat aber trotzdem die Krone fest auf den Zahn gesetzt und meinte, das würde sich legen Ich hatte dann zwischendurch immer wieder ein leichtes ziehen in dem Zahn aber nicht extrem empfindlich. Eine Zahnbrücke ist ein Zahnersatz, der aus einem oder mehreren künstlichen Zähnen sowie aus mindestens zwei Zahnkronen besteht Die Zahnkronen (Ankerkronen) dienen der Verankerung der künstlichen Zähne auf den zuvor als Brückenpfeiler präparierten natürlichen Zähnen.
Die abnehmbare Zahnbrücke wird als kombinierter Zahnersatz bezeichnet und ist eine teleskopierende Brücke die gleichzeitig festsitzend ist Die teleskopierende Zahnbrücke muss eine gute Verankerung und hohe Stabilität haben, damit sie herausnehmbar ist, was eine gute Mundpflege wesentlich erleichtert. Nach dem Beschleifen der Zähne für eine Brücke /Krone können die Zähne empfindlich sein, denn man schleift ja den Zahnschmelz weg, um später eine Krone über den Zahn stecken zu können Zahnschmelz ist der natürliche Schutz des Zahnes. Wenn auch hierfür keine Richtzahlen existieren, da jeder Zahn eine andere Pfeilerzahnwertigkeit besitzt, so ist auch für einen Laien klar, dass nicht ein festsitzender Zahnersatz eingegliedert werden kann, wenn fast alle Zähne fehlen und nur noch 3 Pfeilerzähne vorhanden wären Bedenken Sie immer, dass die Brückenpfeiler für die.
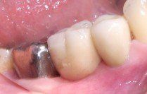
Präzisionsarbeit Das Abschleifen von Zähnen Werden Zähne überkront oder sollen als Ankerzähne für Brücken oder Teilprothesen dienen, müssen sie zunächst “präpariert” werden Präparieren bedeutet, dass von den entsprechenden Zähne rundherum Substanz abgetragen wird und die Zähne in der Höhe gekürzt werden. Die Zähne in dem Video haben bereits Kronen, hier wird vermutlich nur der Zahn ersetzt, der dazwischen extrahiert wurde Es wird hier in der Keramik gearbeitet, das sieht nach einem Provisorium aus Das sit auch keien MArylandBrücke Zu den Kosten und Möglichkeiten würde ich Deinen ZA befragen, wir machen solche Arbeiten nicht. Zahnersatz Brücke oder Implantat?.
Ich brauch dringend Hilfe Vor knapp 2 Wochen wurden mir am unter und ober Kiefer 9 zähne abgeschliffen und 3 browisorische inplatate eingesetzt Seitdem habe ich starke Schmerzen ich war schon 2 mal danach beim Zahnarzt sich hat alles kontrolliert und mir danach immer eine spritze gegeben die das Zahnfleisch beruhigen soll. Ich bin total verzweifelt ich habe Zähne für eine Brücke und eine Krone abschleifen lassen Es handelt sich hierbei um den 24 25 und 27er Zahn, der 6er fehlt Der 24 war vor der Behandlung schon wurzelbehandelt und macht so keine Probleme Die anderen Zähne waren gesund. Ich brauch dringend Hilfe Vor knapp 2 Wochen wurden mir am unter und ober Kiefer 9 zähne abgeschliffen und 3 browisorische inplatate eingesetzt Seitdem habe ich starke Schmerzen ich war schon 2 mal danach beim Zahnarzt sich hat alles kontrolliert und mir danach immer eine spritze gegeben die das Zahnfleisch beruhigen soll.
Zahn AbschleifenAblauf&Warum Sie keine Angst haben müssen Besonders im Bereich der vorderen Zähne kann dieses Detail entscheidend für das Endergebnis sein Nach dem Beschleifen Nachdem der Zahn beschliffen ist, ist ein großer Teil des Zahnschmelzes entfernt und das Zahnbein (Dentin) liegt frei wenn es darum geht einen Zahn für. Eine Zahnbrücke ist ein Zahnersatz, der aus einem oder mehreren künstlichen Zähnen sowie aus mindestens zwei Zahnkronen besteht Die Zahnkronen (Ankerkronen) dienen der Verankerung der künstlichen Zähne auf den zuvor als Brückenpfeiler präparierten natürlichen Zähnen. Fazit Zahnbrücke Durch Abschleifen für eine Überkronung werden Zähne geschädigt Wer also auf Zahnerhalt aus ist, dem wird dieser Nachteil einer Brücke kaum schmecken Bei bereits überkronten oder überkronungsbedürftigen Zähnen (große Füllungen) kann die Brücke eine gute, manchmal sogar die bessere Option darstellen.
Die Zähne in dem Video haben bereits Kronen, hier wird vermutlich nur der Zahn ersetzt, der dazwischen extrahiert wurde Es wird hier in der Keramik gearbeitet, das sieht nach einem Provisorium aus Das sit auch keien MArylandBrücke Zu den Kosten und Möglichkeiten würde ich Deinen ZA befragen, wir machen solche Arbeiten nicht. Frontzahnrestauration Teil 01 der vollständigen Operationsdokumentation Wir danken den Partnern MKG im Sellspeicher Kiel (Dr Dr Ingo Springer) und Praxis. Biologische Zahnheilkunde Einzelthemen Schmerzen nach Kronen und Brücken Nach dem Abschleifen oder Einsetzen Es ist eines der grossen Probleme der Zahnmedizin Ein Patient hat eine Lücke, da ein Zahn aus welchen Gründen auch immer gezogen werden musste Um wieder die volle Kaufähigkeit im Seitenzahngebiet oder aus kosmetischen Gründen die unschöne Lücke im FrontzahnGebiet zu schliessen, empfiehlt der.
Das Abschleifen war unspaßig, weil es so lange gedauert hat Bohren oder Zahnsteinentfernen ist schmerzhafter, aber ich hätte mir Musik zum indieOhrenstopfen mitnehmen sollen. Nach Abschleifen der Zähne Schmerzen gehen nicht weg Hi, habe eine Frage Hast Du immer noch Schmerzen oder ist es vorbei Ich habe nämlich das gleiche Problem und komme gerade vom Zahnarzt Der sagte mir es läge daran, dass durch das Abschleifen, die kleinen Wurzelkanälchen, die vom Hauptnerv weggehen, beschädigt sind. Nach dem Beschleifen der Zähne für eine Brücke /Krone können die Zähne empfindlich sein, denn man schleift ja den Zahnschmelz weg, um später eine Krone über den Zahn stecken zu können Zahnschmelz ist der natürliche Schutz des Zahnes.
Zähne schleifen beim Zahnarzt Zähne schleifen lassen ist dann notwendig, wenn der Zahnarzt eine Krone oder Brücke aufsetzen möchte Die Zähne können nach dem Abschleifen vorübergehend schmerzen, was vollkommen normal ist Zum Teil muss enorm viel Hartsubstanz abgeschliffen werden, was den Zahnschmelz beschädigt. Nein, für eine Brücke, die aus der Brücke und 2 Kronen für die Zähne links und rechts daneben liegen Wenn die Brücke etwas breiter ist, wird es nicht viel teurer Aber wer weiß, was für eine Konstruktion du bekommst. Zahnfleischentzündung nach Abschleifen der Zähne Hallo Zusammen Mir wurden am Donnerstag die Zähne beschliffen und ein Provisorium eingesetzt, welches nicht gut bissmäßig passt Viel schlimmer ist jedoch, dass mein Zahnfleisch an mehreren Stellen sehr entzündet, weiß und die Zahnhälse sehr empfindlich und schmerzhaft sind.
Zum anderen ist die Brücke viel schneller fertig Implantate sind der zeitaufwendig – es können schon mal mehrere Monate vergehen, bis der „neue“ Zahn fest im Mund sitzt Es gibt aber auch Nachteile Gesunde Zähne müssen beschliffen werden, um das solide Pfeiler zu fungieren Dadurch geht kostbare und gesunde Zahnsubstanz verloren. Eine Brücke ist mit einem Holzsteg vergleichbar, der aus mehreren Planken besteht Als Pfeiler dienen die natürlichen Zähne rechts und links der Lücke;. DiamantDent Dental Medical Institute wwwdiamantdenthu wwwfacebookcom/diamantdent Free number from A, B, D, CH, F, I, IRL, NL, UK 00 800 Landli.
Ich bin total verzweifelt ich habe Zähne für eine Brücke und eine Krone abschleifen lassen Es handelt sich hierbei um den 24 25 und 27er Zahn, der 6er fehlt Der 24 war vor der Behandlung schon wurzelbehandelt und macht so keine Probleme Die anderen Zähne waren gesund. Hallo, mir wurde am Dienstag der Zahn (Backenzahn) abgeschliffen und nun habe ich vorübergehend für 2 Wochen eine Krone drauf bekommen die drauf bleib Schmerzen nach abschleifen des Zahnes Ressorts. Für den Fall, dass der Zahnersatz, in diesem Fall die Zahnbrücke bricht und aus dem Grund entfernt bzw neu angefertigt werden muss, kommt es darauf an, ob dies innerhalb der Garantiezeit von 2 Jahren geschieht, ob der Patient etwas zuzahlen muss oder ob auch hier der Zahnarzt bzw das Dentallabor für die Kosten geradesteht.
Für den Fall, dass der Zahnersatz, in diesem Fall die Zahnbrücke bricht und aus dem Grund entfernt bzw neu angefertigt werden muss, kommt es darauf an, ob dies innerhalb der Garantiezeit von 2 Jahren geschieht, ob der Patient etwas zuzahlen muss oder ob auch hier der Zahnarzt bzw das Dentallabor für die Kosten geradesteht. Präparationstrauma in der Zahnmedizin Wenn es um eine Zahnbehandlung geht, dann steht das sogenannte Präparieren oftmals im Vordergrund Hierunter versteht man in der Zahnmedizin das Beschleifen eines Zahnes in Form einer Substanzabtragung mittels rotierende, diamantierten Instrumenten. Das Abschleifen war unspaßig, weil es so lange gedauert hat Bohren oder Zahnsteinentfernen ist schmerzhafter, aber ich hätte mir Musik zum indieOhrenstopfen mitnehmen sollen.
Präzisionsarbeit Das Abschleifen von Zähnen Werden Zähne überkront oder sollen als Ankerzähne für Brücken oder Teilprothesen dienen, müssen sie zunächst “präpariert” werden Präparieren bedeutet, dass von den entsprechenden Zähne rundherum Substanz abgetragen wird und die Zähne in der Höhe gekürzt werden. Eine Zahnbrücke (kurz Brücke) ist eine Form des künstlichen Zahnersatzes, mit dem einer oder mehrere fehlende Zähne ersetzt werden Die benachbarten Zähne dienen als Pfeiler der Brücke, die als herausnehmbarer sowie als festsitzender Zahnersatz eingesetzt werden kann Die Pfeiler werden wie eine Krone präpariert und zur Stabilisierung und Befestigung genutzt. Um lange Zähne zu kürzen, zum Ausgleich von Unregelmäßigkeiten, um beispielsweise, Zähneknirschen zu verhindern, bei engen Zahnzwischenräumen Die Ursache für die Schmerzen nach dem Zahnabschleifen Beim Abschleifen des Zahns entfernt der Zahnarzt einen Teil der Zahnhartsubstanz.
Nur so wird zusätzlicher Platz für die aufzusetzende Brücke geschaffen, die dadurch besonderen Halt erhält Der behandelnde Arzt muss zwei in der Regel kerngesunde Zähne abschleifen, um. Auf diesen werden die Kronenanker der Brücke befestigt Der Zustand der Pfeilerzähne ist entscheidend für die Haltbarkeit einer Brückenkonstruktion. Zähne schleifen beim Zahnarzt Zähne schleifen lassen ist dann notwendig, wenn der Zahnarzt eine Krone oder Brücke aufsetzen möchte Die Zähne können nach dem Abschleifen vorübergehend schmerzen, was vollkommen normal ist Zum Teil muss enorm viel Hartsubstanz abgeschliffen werden, was den Zahnschmelz beschädigt.
Die Kosten für Zahnersatz setzen sich immer zusammen aus dem zahnärztlichen Honorar sowie den Laborleistungen Wie hoch die einzelnen Kosten sind, hängt auch davon ab, welche Versorgung der Patient wünscht Als Regelleistung der gesetzlichen Krankenkassen für fehlende Backenzähne ist eine Brücke aus Stahlbasis vorgesehen, die nur im Sichtbereich lippenseitig mit Keramik verblendet wird. Eine Zahnbrücke dient als Zahnersatz für verlorengegangene Zähne nebst dem Kaukomfort der Zahnästhetik und der Formgebung der Gesichtsästhetik wie auch zur Stabilisierung der Zahnreihe in der Zahnbogenform Eine Brücke mit schönen Zähnen und gesundem Zahnfleisch ergeben eine Verbesserung der Gesichtsästhetik, was auch ein Erfolgsfaktor im Berufsleben sein kann. Die abnehmbare Zahnbrücke wird als kombinierter Zahnersatz bezeichnet und ist eine teleskopierende Brücke die gleichzeitig festsitzend ist Die teleskopierende Zahnbrücke muss eine gute Verankerung und hohe Stabilität haben, damit sie herausnehmbar ist, was eine gute Mundpflege wesentlich erleichtert.
Da die umgebenden Zähne für eine Adhäsivbrücke nicht so stark bearbeitet werden müssen wie bei den konventionellen Brücken (nur der Zahnschmelz wird beschliffen), nutzt man sie bevorzugt bei jungen Patienten. Ein weiterer Grund, warum Zähne empfindlich auf eine neue Brücke reagieren ist, dass sich die Stellung der Zähne durch eine neue Brücke verändern kann Mit einer Brücke wird letztlich eine Zahnlücke überbrückt In diese Zahnlücke können sich die verbleibenden Zähne hineinschieben. Schöne Zähne vermitteln eine vitale Ausstrahlung und ein positives Selbstwertgefühl Ein dazu passendes Sprichwort sagt „Dein Outfit ist niemals perfekt ohne ein schönes Lächeln“Rund um die Themen Zähne, Zahnpflege, Mundgesundheit und Zahnersatz geht es im OnlineMagazin DI2 Zahnpflege und Mundgesundheit stehen für die Erhaltung gesunder Zähne und Vorbeugung von.
Abschleifen der Zähne beim Zahnarzt Durch das Abschleifen der Zähne beim Zahnarzt können Schäden an den Zähnen auftreten Beim Zahnarzt ist das Abschleifen der Zähne zu einem Zahnstumpf bei Kronen notwendig, womit eine künstliche Zahnkrone gemeint ist (Überkronung), was eine zahnförmige „Kappe“ ist, die auf den Zahn aufgesetzt wird Nach dem Abschleifen der Zähne und dem. Das Einzige, was ich vom Abschleifen mitbekam, waren die Vibrationen Weh tat das nicht Zwischendurch wurden immer wieder Abdrücke von den Zähnen gemacht Mein Zahnarzt ist ein Perfektionist und es dauerte, ehe er die abgeschliffenen Zähne milimetergenau zurechtforme Er machte mich geradezu wahnsinnig, mit „hier noch ein bisschen und da“. Ursachen für die drückenden Schmerzen der Zahnbrücke Diese Symptome können ein Hinweis darauf sein, dass die Zahnbrücke nicht richtig sitzt bzw nicht passt Ursache für die Schmerzen kann aber auch eine Überlastung sein, und zwar durch Zähnepressen, Zähnereiben oder das Zähneknirschen.
Danke für euer Mitgefühl Die Zähne wurden vor 4 Wochen beschliffen und erst das Professorium für 2 Wochen eingesetzt Das war die Hölle, da meine Zähne sehr beleidigt waren und ich arge Zahnschmerzen hatte und auf der Seite nicht kauen konnte und auch heiß und kalt nicht erträglich war.
Kronen Und Brucken
Zahnprovisorium Wichtige Informationen Zu Ihrem Provisorium
Zahnbrucke Materialien Kosten Und Haltbarkeit Focus Arztsuche
Zahne Abschleifen Fur Brucke のギャラリー
Faq Beiss Die Zahne Zusammen Quarks De
Zahn Abschleifen Ablauf Warum Sie Keine Angst Haben Mussen Dentalplanet
Zahnbrucken Beratung Zu Varianten Kosten
Zahnbrucke Zahnmedizinischen Zentrum Freesmile
Zahne Knirschen Ist Das Schadlich Maxcare
Dr Dt Mustafa Bas Zirkonzahn
Leistungen
Was Denken Sie Brucke Oder Implantat
Dickydackel Blog Achtung Jetzt Wird Es Ekelig
Klebebrucken Front
Zahnimplantat Die 10 Grossten Irrtumer Das Sollten Sie Wissen
Zahnbrucken Fachzahnarztliche Praxis Aponia Belgrad Serbien
Zahnbrucke Schmerzen Was Verursacht Die Schmerzen Dentolo
Veneers Zahne Verblenden Fur Ein Schones Lacheln
Was Denken Sie Brucke Oder Implantat
Implantate In Ludwigshafen Wie Sinnvoll Sind Zahnimplantate
Zahn Abschleifen Ablauf Warum Sie Keine Angst Haben Mussen Dentalplanet
Implantate Fitdent S R O
Asthetische Zahnmedizin Schone Zahne Zahnarzt Team Luzern
Zahnbrucke Alles Zu Kosten Und Arten Herold At
Zahnimplantate Schutzen Und Unterstutzen Die Eigenen Zahne
Dr Staroscik Behandlung
Web Dent Zirkonzahn
Brucke Krone Implantat Alle Infos Drsmile
Was Denken Sie Brucke Oder Implantat
Lumineers Perfekte Weisse Zahne Zahnarzt Nowak Berlin
Zahnersatz Alternativen Preise Zuschuss
Praparation Schritt 2 Abschleifen Des Zahns
Zahnimplantat Kosten Informationen Zahnbehandlung Novacorpus
Zahnbrucke C Youtube
Ratgeber Zahnbrucke Kosten Arten Vor Und Nachteile
Veneers Zahnarzte Dr Francke U Fohner
Zahnersatz Alternativen Preise Zuschuss
Ersatz Von Fehlenden Zahnen Mit Der Heutzutage Modernsten Methode Einsetzen Von Zahnwurzeln Also Zahnmedizinische Implantation Kg Dental
Festsitzende Versorgungen Als Zahnersatz Zahnarzt Dr Asche Rheine
Leistungen
Zahnimplantate Implantologie In Aschaffenburg
Ein Fehlender Frontzahn Kronenlose Brucke Zahnersatzberatung Futura Dentaltechnik Gmbh
Zahnbrucke Metallkeramikbrucke Zirkonkeramikbrucke Zirkonbrucke Ungarn Mosonmagyarovar Zahnbrucke Aus Zirkon Zirkonkeramik Metallkeramik Goldkeramik In Ungarn Mosonmagyarovar
Zahnarztpraxis Dr Frank Lobeck In Koln Dellbruck
Was Denken Sie Brucke Oder Implantat
Hochwertig Gunstig Zahnbrucken Aus Der Gelencser Dental Zahnklinik
Klebebrucken Front
Orale Rehabilitation Eines Abrasionsgebisses Zm Online
Asthetische Zahnmedizin Schone Zahne Zahnarzt Team Luzern
Zahne Schleifen Beim Zahnarzt
Zahne Schleifen Beim Zahnarzt
Zahnimplantat Die Kunstliche Zahnwurzel Gesundheit Rhein Nahe De
Kronen Brucken
Zahn Abschleifen Ablauf Warum Sie Keine Angst Haben Mussen Dentalplanet
Zahnimplantate Zahnarztpraxis Dr Thomas Kiermeier In Landshut
Zahnlucke Endlich Wieder Ohne Zahnlucke Zahnfreude Com
Www Zahnarzt Schmid At Implantate
Zahnheilkunde Zahnarztpraxis Geragori
Zahnbrucke Materialien Kosten Und Haltbarkeit Focus Arztsuche
Zahnbrucke Kosten Befestigung Nachteile Vorteile Zahnimplantate Com
Zahn Implantate Deggendorf Praxisklinik Fur Mkg Chirurgie Udo E Dr Claudia Novacek Deggendorf
Zahnimplantate Zahnarztpraxis Dr Thomas Kiermeier In Landshut
Non Prep Veneers Zahnarzt P Tomovic Asthetische Zahnheilkunde In Frankfurt Westend
Kronen Brucken
Zahnbrucke Kosten Befestigung Nachteile Vorteile Zahnimplantate Com
Veneers Vorbereitung Und Zahn Veneers Stellung C Youtube
Kronen Brucken
Zahnbrucken Beratung Zu Varianten Kosten
Unbenanntes Dokument
Implantate Zahnarztpraxis Lichtenberg Ag
Implantat Statt Zahnbrucke Zahnarzt Springe Bennigsen Dr Riegelmann
Implantologie Zahnarzt Hamburg Spezialist Fur Zahnersatz Und Zahnimplantate
Beschwerden Nach Abschleifen Eines Zahnes Fur Brucke
Hybridprothese Hybridbrucke Verbundbrucke Auf Zahnen Und Implantaten
Zahnarztpraxis Andreas Makowski
Implantat Oder Brucke Zahnbrucke Oder Implantat Bestezahnimplantate
Zahnimplantate Zahnersatz Deluxe
Brucke Krone Implantat Alle Infos Drsmile
Zahnersatz Koln Bezahlbarer Hochwertiger Zahnersatz
Vorher Nachher Bilder
Brucke Oder Implantat Die Pluszahnarzte Dusseldorf
Fall Prasentationen
Zahnbrucke Alles Uber Zahnbrucken Klebebrucken
Zahnkronen Und Zahnbrucken In Ungarn Top Qualitat
Zahne Schleifen Beim Zahnarzt
Zahnbrucke Aus Vollkeramik Zahnbrucke Kosten Zahnbrucke Oder Implantat Dentalreisenpolen
Zahnwanderung Wikipedia
Zahneknirschen Beim Schlafen Ursachen Losungen
Implantate Zahnarzt Celle Hirschfeld
Kostengunstige Kronen Zahnersatzsparen De
Klammerprothesen Der Gunstigste Herausnehmbare Zahnersatz
Ratgeber Zahnbrucke Kosten Arten Vor Und Nachteile
Zemfix Das Innovative Zementieren 6 Kronen In 15 Sekunden Youtube
Zahnersatz Alternativen Preise Zuschuss
Zahnbrucke Kosten Befestigung Nachteile Vorteile Zahnimplantate Com
Wie Macht Man Zahne Schmaler Stripping Youtube
Harkany Dental Dienstleistungen
Zahnarztpraxis Dr Frank Lobeck In Koln Dellbruck
Zahnbrucke Kosten Befestigung Nachteile Vorteile Zahnimplantate Com
Zahnbrucke Oder Zahnimplantat Trusted Dentists


