Saure Atz Technik
De très nombreux exemples de phrases traduites contenant "Säure Ätz Technik" – Dictionnaire françaisallemand et moteur de recherche de traductions françaises.
Saure atz technik. Ein Unterschreiten der Ätzzeit kann zu einer Verschlechterung des Haftverbundes führen Im Dentin führt auch das Überschreiten der ÄtzZeit zu einem schlechteren Verbund Sollte die Säure länger als beabsichtigt auf die DentinOberfläche eingewirkt haben, ist es empfehlenswert, die PrimerApplikation ebenfalls entsprechend zu verlängern. Auch Klebetechnik oder SäureÄtzTechnik (SÄT) genannt, ist eine Methode zur Befestigung von Zahnersatz in der Zahnmedizin Die Adhäsivtechnik wird sowohl bei KompositFüllungen und beim Zementieren von Keramikfüllungen als auch beim Befestigen von Kronen, Verblendschalen (Veneer) und Klebebrücken mittels Komposit sowie bei der Fissurenversiegelung angewandt. Frage „Bei einem Kassenpatienten wird am Zahn 36 ein Schraubenaufbau eingesetzt Anschließend wird auf Wunsch des Patienten die Aufbaufüllung in CompositSäureÄtzTechnik angefertigt und eine Krone eingegliedert.
Motorcycle Parts Bar End RearView Mirrors CNC Compatible GROM MSX125 CB500F/Yamaha MT03 MT07 FZ07 MT09 FZ09 MT10 FZ10 MT25 FZ6 FZ8 FZ6R /Kawasaki Z125 pro Z650 Z750 Z800 Z900 ER6N ER6F. Denn zum einen eignen sich die in der Medizin verwendeten Stähle ideal zur Bearbeitung per Ätztechnik Zum anderen erfüllen die gratfreien Produkte die hohen Qualitätsstandards der Branche Ein besonderes Plus bei Herz Via ÄtzLaserTechnik produzieren wir stabile Werkstücke mit bis zu 3 mm Dicke und komplexer Oberflächenstruktur. Auch Säure Ätztechnik (SÄT) wird vom Zahnarzt bei der Zahnbehandlung verwendet bei der Eingliederung von Komposit bzw Kunststofffüllungen und Keramikfüllungen sowie Zahnkronen Kunststofffüllungen und Keramikfüllungen sowie Zahnkronen.
ألماني عربي Technik ترجمة, القاموس يمدك بالترجمة وملاحظات عليها كذلك تعبيرات اصطلاحية معاني ومرادفات جمل أمثلة مع خاصية النطق , أسئلة وأجوبة. Viele übersetzte Beispielsätze mit "SäureÄtzTechnik" – EnglischDeutsch Wörterbuch und Suchmaschine für Millionen von EnglischÜbersetzungen. Bei der Säureätztechnik wird der Zahnschmelz mit 30 bis 50prozentiger PhosphorSäure angeraut So ist eine intensivere Haftung des Kunststoffes am Zahn möglich Auch die Randdichtigkeit eines restaurierten Zahnes wird so garantiert.
Wird das Arbeitsfeld für die SäureÄtzTechnik mit Watterollen isoliert, ist eine erhöhte Aufmerksamkeit des zahnärztlichen Teams unumgänglich Ein Kontakt von angeätztem Schmelz mit der Zunge des Patienten (Kinder sind oft neugierig und versuchen, mit der Zunge das Behandlungsgebiet abzutasten) und. SäureÄtzTechnik Zahnfüllungen aus Kunststoff bestehen aus Kunststoffharzen und KompositMaterialien mit Glaskeramik und Quarzpartikeln Diese KunststoffFüllungen halten bis zu fünf Jahre – je nach Größe und Zahnhygiene. Die Säure muss in der säurefesten Flasche aufbewahrt werden Zum Ätzen von Radierungen benutzt man üblicherweise mit Wasser verdünnte Säure Um Unfälle zu vermeiden, sollte man folgenden Lehrsatz immer beachten Gieße niemals Wasser in Säure, sondern immer nur Säure in Wasser!.
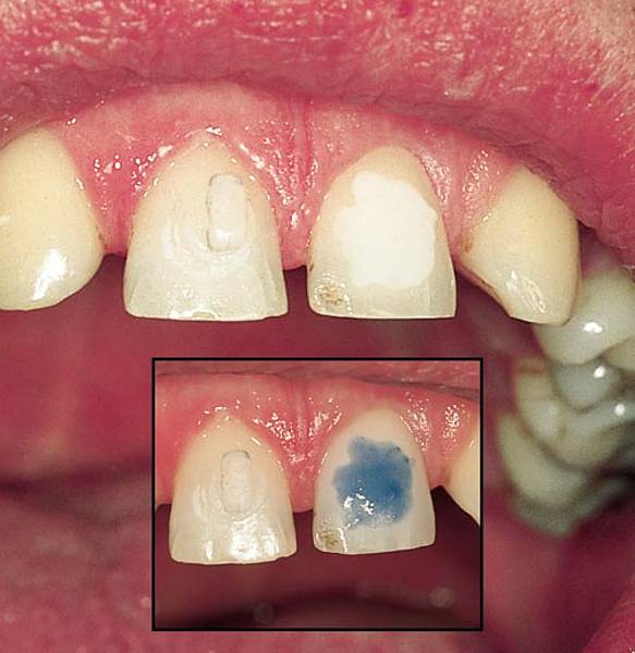
Vococid Vococid wird für die SäureÄtzTechnik verwendet und enthält 35% Orthophosphorsäure Die blaue Einfärbung des Gels bzw der Flüssigkeit ermöglicht eine sichere Applikationskontrolle Vococid kann zur Schmelzätz oder TotalEtchTechnik verwendet werden und ist wahlweise als Gel oder Flüssigkeit erhältlich Produktdetails Vococid. ÄtzTechnik Diese Technik ist eine kalte Veredelungstechnik und wird mittels Säure, welche direkt auf das Glas aufgebracht wird, durchgeführt Die Glashütten haben verschiedene Rezepte, bei denen Chemikalien mit Flusssäure oder mit Schwefelsäure angerührt und auf das Glas gebracht werden Das Glas wird dadurch matt. Schmelzveränderungen infolge SäureÄtzTechnik und Debonding von Brackets (lokal intraoral, moderat, irreversibel) Bei der Befestigung von Brackets mittels SäureÄtzTechnik sind geringe Oberflächenveränderungen fast unvermeidbar (inhärente Komplikation) Bei klassischen BondingSystemen sind 10 bis µm Zotten zu erwarten, die in den.
Säuren und ihre Wirkungen Unzählige Stoffe, mit denen wir im Alltag zu tun haben, enthalten Säuren Die Sendung zeigt, wie diese besonderen chemischen Verbindungen entstehen, was. Zahnarzt und alles rund um Zahn und Zahnersatz Zahnlaborde umfassendes Verzeichnis für Zahnärzte, Dentallabors, Zahntechniker, Zahnkliniken, mit vielen weiteren Funktionen wie Lexikon, Forum, FAQ, Galerie, Dental Pressemitteilungen, Suchmaschine. Mittel für die Säureätztechnik VOCO GmbH AntonFlettnerStraße 13 Cuxhaven wwwvocode Vocokundenservice Freecall 00 800 44 444 555 Fax 49 (0) service@vocode Zu beziehen durch.
Ein Unterschreiten der Ätzzeit kann zu einer Verschlechterung des Haftverbundes führen Im Dentin führt auch das Überschreiten der ÄtzZeit zu einem schlechteren Verbund Sollte die Säure länger als beabsichtigt auf die DentinOberfläche eingewirkt haben, ist es empfehlenswert, die PrimerApplikation ebenfalls entsprechend zu verlängern. Jede Säure verhält sich etwas anders, abhängig von der vorliegenden Edelstahllegierung Daher beschreiben wir nachfolgend die Wirkungsweise Die Anwendung ist jeweils denkbar einfach Auch hier können Sie Formen und Logos mit Nagellack bilden Die jeweilige Säure wird nun wasserverdünnt in einen säurefesten gegossen. Die Säure Ätztechnik ist eine verwendete Technik, bei der der Zahnschmelz mit 3050%iger Phosphorsäure angeraut wird, um eine intensive Haftung des Kunststoffes am Zahn zu erreichen Konditionierung bedeutet, Vorbereitung des Zahnschmelzes für das Ätzen bzw für die Säureätztechnik.
Vococid Vococid wird für die SäureÄtzTechnik verwendet und enthält 35% Orthophosphorsäure Die blaue Einfärbung des Gels bzw der Flüssigkeit ermöglicht eine sichere Applikationskontrolle Vococid kann zur Schmelzätz oder TotalEtchTechnik verwendet werden und ist wahlweise als Gel oder Flüssigkeit erhältlich Produktdetails Vococid. In einem zweiten Schritt wird bei dem als SäureÄtzTechnik bezeichneten Verfahren die aufgeraute Oberfläche des Zahns mit einem Monomerengemisch versetzt Die Monomeren gelangen in die Hohlräume und polymerisieren dort aus Dadurch kommt es zur engen Verbindung von Zahnschmelz und Polymerisat. SäureÄtzTechnik Die SäureÄtzTechnik ist eine Füllungstechnik, bei der vor dem Einbringen des plastischen Füllungsmaterials in die Kavität die Zahnhartsubstanz mit Hilfe von Säuren angeätzt wird.
1 Liter des Entwicklers reicht für ca 1/2 qm fotolackbeschichtetes Blech Die Haltbarkeit des Entwicklers ist bei geschlossener Verpackung (Beutel) fast unbegrenzt, im aufgelösten Zustand, in einer für Säure geeigneten Flasche, einige Wochen, in der offenen Kunststoff oder Glasschale jedoch nur wenige Stunden Das wäre geschafft!!!. · Fachbeitrag · Kassenabrechnung Aufbaufüllungen Wie ist der Mehraufwand für SäureÄtzTechnik zu berechnen?. Schienung von gelockerten Zähnen (SäureÄtzTechnik) Leitung und Durchführung der Mundgeruchssprechstunde Gut zu wissen Was macht eigentlich eine Dentalhygienikerin?.
Die SäureÄtzTechnik macht es möglich, eine feste Verbindung zwischen der verbleibenden Zahnsubstanz und dem Compositmaterial zu erreichen Auch mit minimalinvasiven Präparationstechniken kann stabil restauriert werden Die neuesten Füllungsmaterialien sind ausserdem in puncto Ästhetik und Langlebigkeit sehr gut KeramikFüllungen. Die SäureÄtzTechnik macht es möglich, eine feste Verbindung zwischen der verbleibenden Zahnsubstanz und dem Compositmaterial zu erreichen Auch mit minimalinvasiven Präparationstechniken kann stabil restauriert werden Die neuesten Füllungsmaterialien sind ausserdem in puncto Ästhetik und Langlebigkeit sehr gut. Sie werden mittels eines speziellen Klebers mit Hilfe der SäureÄtzTechnik eingegliedert und erlauben so eine vollständig randdichte, passgenaue und somit kariesgeschützte Verbindung zwischen Zahn und Inlay Ferner können keramische Arbeiten durch individuelle Farbgebung der Oberfläche optimal an die vorhandene Zahnfarbe angepasst werden.
Viele übersetzte Beispielsätze mit "SäureÄtzTechnik" – EnglischDeutsch Wörterbuch und Suchmaschine für Millionen von EnglischÜbersetzungen. Look up the German to Arabic translation of SäureÄtzTechnik in the PONS online dictionary Includes free vocabulary trainer, verb tables and pronunciation function. I know I am early on this because they just started shipping but I got mine today and played with them a bit The instructions have you believe that you take off the lowest piece of Tupperware, install the three bolts and associated washers, spacers, etc and you are done They even state the.
I had Z Technik on my other RT and really liked them, but they wouldn't fit the new RT so I left them on the old bike I kept the highway pegs (Ilium Works) which fit well on the Z Technik bars That combination looks great, works great, and is a very sleek design that just complements the bike I know looks and appearance are personal and I am. SÄureÄtztechnik Definition Ist ein Verfahren, welches die Haftung der Kunststofffüllung am Schmelz und neuerdings auch am Dentin nachhaltig verbessert. Bei dieser Technik wird die Druckplatte mit einer.
ألماني عربي SäureÄtzTechnik ترجمة, القاموس يمدك بالترجمة وملاحظات عليها كذلك تعبيرات اصطلاحية معاني ومرادفات جمل أمثلة مع خاصية النطق , أسئلة وأجوبة. Mittel für die SäureÄtzTechnik Zur Gebrauchsinformation Erhältlich als Flüssigkeit (36,1 % Phosphorsäure) oder Gel (35 % Phosphorsäure) Blaue Einfärbung zur Applikationskontrolle Standfestes Gel – tropft nicht 60 mlSpritze zur Vorratshaltung Indikationen. Frage „Wie kann ich einen nach der Extraktion gekürzten Zahn 11 abrechnen, der mittels SäureÄtzTechnik an 12 und 21 als Provisorium wieder eingesetzt wurde?“ Antwort Für die Trennung der Wurzel (Wurzelamputation) von der klinischen Krone kann die GOZNr 313 (Hemisektion und Teilextraktion.
0409 SDATechnik Wie kann ich einen nach der Extraktion gekürzten Zahn abrechnen?. This shopping feature will continue to load items when the Enter key is pressed In order to navigate out of this carousel please use your heading shortcut key to navigate to the next or previous heading. Die Schmelzränder werden angeschrägt, um eine grössere Oberfläche für die Adhäsivtechnik im Schmelzbereich (SäureÄtzTechnik) zu erzielen ♦ Trockenlegung Sie erfolgt am sichersten mit Kofferdamm ♦ Unterfüllung im pulpanahen Bereich zum Beispiel mit einem Glasionomerzement.
Ätzen von Schmelz und Dentin im Rahmen der SäureÄtzTechnik Enthält 34 %ige Phosphorsäure In kräftiger blauer Farbe erhältlich für gute Sichtbarkei. Daraufhin wird mit einem Kunststoff und einer harmlosen SäureÄtzTechnik die Keramikschale aufgeklebt Einsatzmöglichkeiten von Veneers Veneers sind 0,3 bis 1,0 mm dick und werden für die Frontzähne, von Eck bis Eckzahn angefertigt Mit Veneers lassen sich beispielsweise grosse Zahnzwischenräume, schiefstehende oder zu kurze Zähne. Die Auswertung zeigte, dass sich die klinischen Vorgehensweisen bei der SäureÄtzTechnik von der laborgenerierten Doktrin, die darauf abzielt, das Ätzmuster Typ 1 und 2 zu maximieren, z T deutlich unterschieden, und dabei dennoch einen klinisch akzeptablen Verbund erreichten.
Auch Klebetechnik oder SäureÄtzTechnik (SÄT) genannt, ist eine Methode zur Befestigung von Zahnersatz in der Zahnmedizin Die Adhäsivtechnik wird sowohl bei KompositFüllungen und beim Zementieren von Keramikfüllungen als auch beim Befestigen von Kronen, Verblendschalen (Veneer) und Klebebrücken mittels Komposit sowie bei der. Ätzen von Schmelz und Dentin im Rahmen der SäureÄtzTechnik Enthält 34 %ige Phosphorsäure In kräftiger ab 34,19 € Lieferbar iBOND® Etch Gel Ätzen von Schmelz und Dentin für die ÄtzBondTechnik Vorteile Enthält ab 11,59 € Eingeschränkt lieferbar. Das Verfahren selbst wird SäureÄtzTechnik (SÄT) genannt Durch die Mikroretention wird die Dichtigkeit einer Füllung erheblich erhöht Sie führte erst zum vertretbaren Einsatz von Kunststoffen in der restaurativen Zahnmedizin Systematik Die Mikroretention wird folgendermaßen erreicht.
Die Adhäsivtechnik (Lat adhaerere ‚anhaften‘) ist eine Methode in der Zahnmedizin zur Befestigung von Zahnrestaurationen mittels Kunststoff Sie wird sowohl bei KompositFüllungen und beim Zementieren von Keramikfüllungen als auch beim Befestigen von Kronen, Veneers (Verblendschalen) und Klebebrücken mittels Komposit sowie bei der Fissurenversiegelung angewandt.
Traditionelle Sorbische Ostereier In Bautzen Deutschland Wachs Technik Und Salz Saure Mit Der Kratz Und Atztechnik Stockfotografie Alamy
Fullungstechniken
Herz Atztechnik Atzen Statt Stanzen
Saure Atz Technik のギャラリー
Dr Dominik Nischwitz Prasentiert Seinen Fall Des Monats Ismi
Vococid Zur Saure Atz Technik Praxisdienst
Headline Tahoma 16 Pt Fett
3 Befestigungsmaterialien Flashcards Quizlet
Atztechnik Weidling Gmbh
Abrechnung Nach Bema Und Goz So Vermeiden Sie Haufige Abrechnungsfehler Teil 7 Plastische Fullungen
Asthetische Zahnheilkunde Zahnarzt Wuppertal Dr Med Dent Dirk Specht Zahnarzte Gemeinschaftspraxis
Saure Atz Technik Archive Herzlich Willkommen In Der Zahnarztpraxis Dr Tanja Trapper Dr Rudiger Aplas Erlangen
Photochemische Atztechnik Der Favorit Bei Komplexen Leadframes Precision Micro
Geschichtlicher Uberblick Zum Atzen Und Beizen Der Grin
Vococid Packung 60 Ml Jumbospritze 2 X 2 Ml Leerspritze Dentalartikel Online Kaufen
Zahnfullungen Inlays Gandner Horr Zahnarzt Dossenheim Gandner Horr
Vococid Zur Saure Atz Technik Praxisdienst
1 11 S Saeure Base Reaktionen Pdf Document
Mit Glasfasern Adhasionskrafte Von Komposits Steigern Pdf Kostenfreier Download
Atztechnik Springerlink
Mit Glasfasern Adhasionskrafte Von Komposits Steigern Pdf Kostenfreier Download
Fullungstechniken
Dentinadhasive Dentinhaftvermittler
Abrechnung Nach Bema Und Goz So Vermeiden Sie Haufige Abrechnungsfehler Teil 7 Plastische Fullungen
Mikroretention Wikipedia
Traditionelle Sorbische Ostereier In Bautzen Deutschland Wachs Technik Und Salz Saure Mit Der Kratz Und Atztechnik Stockfotografie Alamy
Atztechnik Precision Micro Youtube
Dentinadhasive Dentinhaftvermittler
Abrechnung Nach Bema Und Goz So Vermeiden Sie Haufige Abrechnungsfehler Teil 4 Besondere Massnahmen Beim Fullen Oder Praparieren
Einfluss Von Zement Provisorien Und Adhasivprocedere Auf Die Marginale Adaptation Von Kompositrestaurationen Pdf Kostenfreier Download
Kompositrestaurationen Mit Nanohybridkomposit Fachgebiete Zmk Aktuell De
Traditionelle Sorbische Ostereier In Bautzen Deutschland Wachs Technik Und Salz Saure Mit Der Kratz Und Atztechnik Stockfotografie Alamy
Fullungstechniken
Zahnfullungen Zahnzentrum In Berlin
Grundsatzliche Tipps Zum Atzen Von Radierplatten
Geatzter Spiegel Archidemat
Zahnmanufaktur Zehlendorf Dr Med Dent Ulli Voss Dr Ulli Voss Fullungen Karies Therapie
Traditionelle Sorbische Ostereier In Bautzen Deutschland Wachs Technik Und Salz Saure Mit Der Kratz Und Atztechnik Stockfotografie Alamy
Mit Atztechnik Zu Perfekten Werbeartikeln
Zahnfullungen Inlays Gandner Horr Zahnarzt Dossenheim Gandner Horr
Traditionelle Sorbische Ostereier In Bautzen Deutschland Wachs Technik Und Salz Saure Mit Der Kratz Und Atztechnik Stockfotografie Alamy
Abrechnung Nach Bema Und Goz So Vermeiden Sie Haufige Abrechnungsfehler Teil 7 Plastische Fullungen
Techniken
Fullungstechniken
Die Kronenverlangerung Mit Benex Marktplatz Dimagazin Aktuell De
Vococid Bonding Voco Gmbh
Einfluss Von Zement Provisorien Und Adhasivprocedere Auf Die Marginale Adaptation Von Kompositrestaurationen Pdf Kostenfreier Download
Zahnhalslasionen Zahnhalskaries Dr Karoly Bartha Pdf Free Download
Xundmund Zahnfarbene Fullungen
Zahnarzt Dr Schwarzer
Kks Anlagen Zum Atzen Von Dentalimplantaten Medtech Plus
Atzen Von Optischen Glasern Mit Flusssaure Hf Und Rie Imt Ag
3 Befestigungsmaterialien Flashcards Quizlet
Fullungstherapie Kunststofffullungen Amalganfullungen Gold Und Keramik Einlagefullungen Zahnarzt Karlsruhe Stephan Hardt
Kupfer Atzen Atztechnik Info Atzen Lassen Mit Aetzen De
Zahnarzt Dr Schwarzer
Mdr Sachsen Fur Die Atz Technik Benotigen Sie Einen Facebook
Zbb Ausgabe 4 By Kzvlb Issuu
Plastische Fullungen
Traditionelle Sorbische Ostereier In Bautzen Deutschland Wachs Technik Und Salz Saure Mit Der Kratz Und Atztechnik Stockfotografie Alamy
Kunststoff Komposit
Traditionelle Sorbische Ostereier In Bautzen Deutschland Wachs Technik Und Salz Saure Mit Der Kratz Und Atztechnik Stockfotografie Alamy
Atzgel Phosphorsaure Gebrauchsanweisung Orbis Dental
Fullungstechniken
Pdf Die Schmelzrandabschragung Notwendig Oder Uberholt
Einfluss Von Zement Provisorien Und Adhasivprocedere Auf Die Marginale Adaptation Von Kompositrestaurationen Pdf Kostenfreier Download
Abrechnung Nach Bema Und Goz So Vermeiden Sie Haufige Abrechnungsfehler Teil 4 Besondere Massnahmen Beim Fullen Oder Praparieren
Atzen Wikipedia
Abrechnung Nach Bema Und Goz So Vermeiden Sie Haufige Abrechnungsfehler Teil 4 Besondere Massnahmen Beim Fullen Oder Praparieren
Die Adhasivbrucke Eine Gute Losung Bei Kleinen Zahnlucken
Zahnfullungen Aus Kunststoff Wir Klaren Auf Herzlich Willkommen In Der Zahnarztpraxis Dr Tanja Trapper Dr Rudiger Aplas Erlangen
Traditionelle Sorbische Ostereier In Bautzen Deutschland Wachs Technik Und Salz Saure Mit Der Kratz Und Atztechnik Stockfotografie Alamy
Dyract Jahre Erfolgreich Anders Sein Fachgebiete Zmk Aktuell De
Fullungstechniken
Traditionelle Sorbische Ostereier In Bautzen Deutschland Wachs Technik Und Salz Saure Mit Der Kratz Und Atztechnik Stockfotografie Alamy
Abrechnung Nach Bema Und Goz So Vermeiden Sie Haufige Abrechnungsfehler Teil 7 Plastische Fullungen
Skriptum Zu Galvano Und Atztechnik Institut Fur Sensor Und
Atzgel Anwendung Gesundheitlicher Nutzen Medlexi De
Plastische Fullungen
Atztechnik Weidling Gmbh
Atz Gel 2 Bonding Und Atzmittel Hilfsmittel Fur Fullungen Praxis Dental Bauer Online Shop
Vorteile Der Atztechnik Bei Komplexen Leadframes All Electronics
Atzen Wikipedia
Fissuren Und Grubchenversiegelung Womit Wo Und Wie Fachgebiete Zmk Aktuell De


