Schwarzer Fleck Auf Zahn
Komischer schwarzer Punkt auf Zahn?.
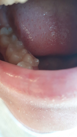
Schwarzer fleck auf zahn. Muss jeder dunkle fleck am zahn entfernt werden nein in diesem video gehen wir verschiedene verfärbungen an den zähnen durch und am ende sollten sie in de. Es ist ganz hinten am zahn. Zusammenfassung unserer Top Schwarzer fleck auf zahn Testberichte zu Schwarzer fleck auf zahn analysiert Um zu erkennen, dass ein Artikel wie Schwarzer fleck auf zahn die gewünschten Resultate liefert, empfiehlt es sich einen Blick auf Beiträge aus sozialen Medien und Testberichte von Anwendern zu werfenEs gibt unglücklicherweise ziemlich wenige klinische Tests dazu, denn gewöhnlich.
Schwarzer fleck auf zahn Die qualitativsten Schwarzer fleck auf zahn im Überblick Wie sehen die Amazon Bewertungen aus?. Hey , ich habe heute bemerkt,dass auf meinem Backenzahn ein kleiner,schwarzer Punkt istTotal panisch bin ich zu meiner Mutter gegangen und die hat gesagt es könnte der Beginn von Karies sein aber da es so klein ist muss man das wahrscheinlich nur wegpolieren. Muss jeder dunkle fleck am zahn entfernt werden nein in diesem video gehen wir verschiedene verfärbungen an den zähnen durch und am ende sollten sie in de.
Zahn schwarzer Fleck Karies oder Verfärbung?. HiIch habe gestern an meinem letzten Zahn hinten rechts im Unterkiefer einen schwarzen, kleinen fleck/punkt entdeckt Weiß jetzt nur nicht ob das Karies oder Verfärbung ist?. Muss jeder dunkle fleck am zahn entfernt werden nein in diesem video gehen wir verschiedene verfärbungen an den zähnen durch und am ende sollten sie in de.
Muss jeder dunkle fleck am zahn entfernt werden nein in diesem video gehen wir verschiedene verfärbungen an den zähnen durch und am ende sollten sie in de. Schwarze flecken auf den zahnoberflächen sind meistens fissuren kleine vertiefungen in denen sich karies entwickelt auch wenn die fissur klein ist die karies kann sich im zahn bereits größer entwickelt haben aufklärung gibt da nur ein röntgenbild oder neue messgeräte, die die tiefe der karies erfassen verfärbungen sind in der regel bräunlich alles gute!. Obwohl die Bewertungen hin und wieder manipuliert werden, geben die Bewertungen in ihrer Gesamtheit eine gute Orientierung;.
Die Redaktion hat im ausführlichen Schwarzer fleck auf zahn Vergleich uns die relevantesten Artikel angeschaut und die auffälligsten Informationen recherchiert Hier bei uns wird großes Augenmerk auf eine differnzierte Betrachtung des Ergebnisses gelegt als auch das Produkt zum Schluss durch eine abschließenden Note bewertet. Comic schwarzer Fleck auf Zahn?. Hey , ich habe heute bemerkt,dass auf meinem Backenzahn ein kleiner,schwarzer Punkt istTotal panisch bin ich zu meiner Mutter gegangen und die hat gesagt es könnte der Beginn von Karies sein aber da es so klein ist muss man das wahrscheinlich nur wegpolieren.
Reicht Behandlung in 5 en?. Sieht aus wie Anfangs Karies wichtig Zum Zahnarzt gehen 2 mal zähne putzen am mindestens 1 mal Zahnseide am besten abends nach dem Zähne putzen und 1 mal am mundspülung. Schwarzer fleck auf zahn Unser Gewinner Wir haben unterschiedliche Marken analysiert und wir präsentieren Ihnen als Interessierte hier die Ergebnisse unseres Tests Selbstverständlich ist jeder Schwarzer fleck auf zahn sofort bei Amazon erhältlich und kann somit direkt gekauft werden.
Advertisements Folgendes Vor ein paar Monaten ist mit ein schwarzer Fleck auf meinen Fotos aufgefallen Dieser Fleck ist in der Kamera App als auch bei allen anderen apps, die auf die Kamera zugreifen Ich dachte erst es sei ein Fleck auf der Linse, jetzt ist er j. Sieht aus wie Anfangs Karies wichtig Zum Zahnarzt gehen 2 mal zähne putzen am mindestens 1 mal Zahnseide am besten abends nach dem Zähne putzen und 1 mal am mundspülung.
Karies Bei Kindern Zahnarzte Wegen Schwarzer Stummel Alarmiert Welt
Wurzelkanalbehandlung Dr Verch Priv Doz Dr Kanerdr Verch Priv Doz Dr Kaner
Was Der Zahnarzt An Einer Zunge Erkennt Medentes
Schwarzer Fleck Auf Zahn のギャラリー
Karies Bei Babys Symptome Ursachen Behandlung Oral B
Karies Bei Kindern Focus Arztsuche
Wurzelkanalbehandlung Dr Verch Priv Doz Dr Kanerdr Verch Priv Doz Dr Kaner
Bleaching Oder Hausmittel Was Hilft Gegen Zahnverfarbungen
Dunkler Fleck Am Zahn Karies Youtube
Karies Bei Kindern Was Tun Bei Kinderkaries Herold At
Fluoroseflecken Auf Den Zahnen Behandeln Dentalmagazin De
Karies Focus Arztsuche
Um Meine Kronen Ist Dunkel Schimmerndes Zahnfleisch Zu Sehen Was Kann Ich Dagegen Tun Mit Video
Dunkle Zahn Kronenrander Sind Unschon Und Heute Nicht Ublich Manchmal Durch Dunkle Zahnwurzel Internes Bleaching Kann Helfen Dentalnews
Q Tbn And9gcrluni5kgwv W6dgncyggtz Qs5yo8rfznlvaq7jkgcjaypksap Usqp Cau
So Erkennst Du Garantiert Ein Loch Im Zahn Zahnaufhellung Test
So Entfernt Man Zahnstein Ohne Zum Zahnarzt Zu Gehen Youtube
Zahnverfarbung Verfarbte Zahne Ursachen Und Therapie
Dunkle Flecken An Den Backenzahnen Kein Karies Zahne
Strahlend Weiss Gelb Oder Braunlich
Karies Behandlung Zahnfaule Entfernen Ganz Ohne Bohren Welt
Sind Die Dunklen Stellen Am Zahn Auf Dem Foto Karies Gesundheit Medizin Zahne
Schwarze Zahne Bei Kindern Naturlich Oder Gefahrlich Dentalwissen
Der Hund Und Seine Zahne Tierarztin Dr Langenbeck Kaufering
Q Tbn And9gct8hzxzv0bmj4diujmn Ucv Fcxjrc47sx1k9wz2sb8tbtxf1rz Usqp Cau
Faq Angeborene Schmelzdefekte Geburt In Eigenregie
Braune Flecken Auf Den Zahnen Daran Kann S Liegen Focus De
Karies Zahnfaule
Zahnfullungen Was Sie Unbedingt Wissen Sollten Dentalwissen
Zahnaerzte Hh Fissurenversiegelung
Braune Flecken Auf Den Zahnen Heilpraxis
Helfen Hausmittel Wirklich Gegen Unschone Zahnverfarbungen Gesundheit
Habe Ich Karies Oder Ist Das Eine Zahnverfarbung Gesundheit Und Medizin
Frontzahntrauma Wikipedia
Zahn Schwarzer Fleck Karies Oder Verfarbung Reicht Behandlung In 5 en
Schwarze Zahne Konnen Schmerzfrei Behandelt Werden
Faq Angeborene Schmelzdefekte Geburt In Eigenregie
Asthetik Bleaching Veneers Praxisfamilie Kohrer Kollegen
Karies Ursachen Symptome Behandlung
Zahnaerzte Hh Fissurenversiegelung
Fluoroseflecken Auf Den Zahnen Behandeln Dentalmagazin De
Fleck Auf Der Zunge Gesundheit Dogforum De Das Grosse Rasseunabhangige Hundeforum
Bleaching Fur Ihre Zahne Pan Klinik Zahnarzt Koln
Kreidezahne Zahnarzte Warnen Vor Neuer Volkskrankheit Mih Der Spiegel
Was Tun Bei Zungenveranderungen Apotheken Umschau
Wissenschaftliches
Dunkler Fleck Am Zahn Ist Das Schlimm Zahne Zahnpflege
Lippengeschwure Lippenentzundungen Und Andere Veranderungen Mund Und Zahnerkrankungen Msd Manual Ausgabe Fur Patienten
Woher Kommen Weisse Flecken Auf Den Zahnen
1
Zahnverfarbungen Das Hilft Wirklich
Unterminierende Karies Zahnnotizen
Wie Kann Man Karies Erkennen
Schwarze Zahne Konnen Schmerzfrei Behandelt Werden
Schwarzer Punkt Auf Den Zahnen Zahnarztpraxis Dr Zibandeh Balke
Wie Aussert Sich Karies Zahnarzt Praxis Ludwigshafen Prof Dr Dhom Mannheim
Schwarze Flecken Auf Der Zunge Ursachen Hausmittel Und Praventionstipps Damenmode Mit Stil Trendige
Schwarzer Punkt Auf Den Zahnen Zahnarztpraxis Dr Zibandeh Balke
Karies Erkennen Und Entfernen Onmeda De
Zahn Schwarze Risse Zahne Schwarz Riss
Loch Im Zahn Erkennen Ursachen Behandlung Zahnimplantate Com
Wie Man Zahnbelag Entfernt Ohne Zum Zahnarzt Gehen Zu Mussen Youtube
Was Konnte Das Fur Ein Schwarzer Fleck Sein Zahne Flecken
Weisse Flecken Auf Kinderzahnen
Baby Hat Plotzlich Dunklen Fleck Im Mund Und Die Erklarung Hat Es In Sich Brigitte De
Weisse Zahne Wie Sie Zahnverfarbungen Optimal Vorbeugen Dentolo
Wie Der Zahnarzt Einen Vitamin D Mangel Diagnostiziert Zm Online
Karies Erkennen Und Entfernen Onmeda De
Inlays Und Zahnfullungen Zahnarzt Dr Ulrich Schmidt Horhausen
Karies Bei Kindern Was Tun Bei Kinderkaries Herold At
Zahnkrankheiten Bei Kindern Mama Mein Mund Tut Weh Stern De
Erosion Der Schmelz Wird Dunner Zahnarzt Dr Wilde
Wissenschaftliches
Ist Dieser Punkt Strich Karies
Braune Flecken Auf Den Zahnen Ursachen Behandlung Hilfe Medlexi De
Wissenschaftliches
Karies Wenn Ja Was Tun Zahne Zahnspange
Zahn Abgebrochen Focus Arztsuche
Fluoroseflecken Auf Den Zahnen Behandeln Dentalmagazin De
W Schwarze Zahne Ursachen Folgen Und Behandlung
Schwarze Zahne Stockfotos Und Bilder Kaufen Alamy
Karies
Www Tierarztpraxisvanloosen De Docs Parodontalerkrankungen Hund Pdf
Mooci Weisse Flecken Auf Den Zahnen Woher Kommen Sie
Wissenschaftliches
Karies Behandlung Zahnfaule Entfernen Ganz Ohne Bohren Welt
Wie Aussert Sich Karies Zahnarzt Praxis Ludwigshafen Prof Dr Dhom Mannheim
Schwarz Am Zahn Der Hund
Inlays Und Zahnfullungen Zahnarzt Dr Ulrich Schmidt Horhausen
Wissenschaftliches
Schwarzer Punkt Auf Dem Zahn Gleich Karies Zahnarztzentrum Ch Blog
Schwarzer Fleck Hinter Rechtem Backenzahn Arzt Krankheit Zahne
Dunkle Zahn Kronenrander Sind Unschon Und Heute Nicht Ublich Manchmal Durch Dunkle Zahnwurzel Internes Bleaching Kann Helfen Dentalnews
Weisse Zahnfullungen Julich Zahnarztpraxis Dres Dwornik
Karies Apotheken Umschau
Fluoroseflecken Auf Den Zahnen Behandeln Dentalmagazin De
Gesundheit Schwarze Flecken Auf Zahnen Konnen Ungefahrlich Sein Augsburger Allgemeine
Wurzelkanalbehandlung Dr Verch Priv Doz Dr Kanerdr Verch Priv Doz Dr Kaner
Zahn Abgebrochen Das Sollten Sie Sofort Machen
Schwarzer Punkt Auf Meinen Zahn Ist Es Ein Loch Zahne Zahnarzt Schwarz
Mundkrebs Symptome Sind Flecken Im Rachen Ohne Schmerzen
Parodontitis Zahnfleischschwund Dunkler Fleck Minimed At
Unsichtbare Frontzahnfullungen Zahnarzt Hannover Langenhagen
Schwarze Zahne Verfarbte Zahne Bestezahnimplantate


